![]() |
||||||||||||||||||||||||||||||||||||||||||
|
||||||||||||||||||||||||||||||||||||||||||
| Specialty |
||||||||||||||||||||||||||||||||||||||||||
| Full Mouth Cosmetic Restorative Reconstruction |
||||||||||||||||||||||||||||||||||||||||||
| Certified in Prosthodontics |
||||||||||||||||||||||||||||||||||||||||||
| General, Family and Cosmetic Dental practice |
||||||||||||||||||||||||||||||||||||||||||
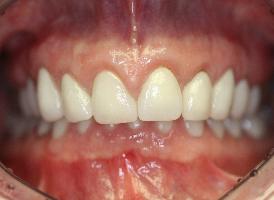
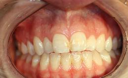
| After |
||||||||||||||||||||||||||||||||||||||||||
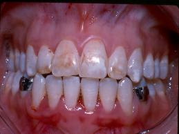
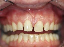
| Before |
||||||||||||||||||||||||||||||||||||||||||
![]() |
||||||||||||||||||||||||||||||||||||||||||
![]() |
||||||||||||||||||||||||||||||||||||||||||
![]() |
![]() |
|||||||||||||||||||||||||||||||||||||||||
![]() |
![]() |
|||||||||||||||||||||||||||||||||||||||||
![]() |
||||||||||||||||||||||||||||||||||||||||||
![]() |
||||||||||||||||||||||||||||||||||||||||||
![]() |
||||||||||||||||||||||||||||||||||||||||||
![]() |
||||||||||||||||||||||||||||||||||||||||||
| 248-656-1505 |
| Cosmetic and Restorative Dentistry |